Meningioma: Un tumor frecuente en el adulto

03/02/2007
2 min lectura
Meningioma: Un tumor frecuente en el adulto

¿Qué condiciones los hacen más peligrosos?
Ciertamente, hay variables propias del paciente, como la edad y condiciones médicas asociadas. Pero, en cuanto al meningioma en sí, es importante reconocer su localización, tamaño y compromiso de estructuras vecinas, como la compresión de venas cerebrales y nervios craneanos.

¿Se conocen las causas del meningioma?
Por el momento, desconocemos qué es lo que genera su crecimiento; pero sabemos que, en la mayoría de los casos, no es una alteración transmisible por los cromosomas.

¿En qué grupo de la población se dan más?
Es más frecuente en el adulto mayor, aunque excepcionalmente, se observan casos en niños. Por otro lado, hay una mayor frecuencia de este tipo de lesiones en mujeres, particularmente cuando se ubican en el canal espinal.

¿Con qué exámenes y procedimientos se localizan estos tumores?
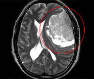
El desarrollo de nuevas tecnologías de imágenes junto a un mayor acceso, permite en la actualidad hacer un diagnóstico más precoz de estas lesiones, siendo fundamental la Resonancia Magnética y la Tomografía Axial Computada, los que en la gran mayoría de los casos son complementarias.

¿Qué tratamiento se sigue habitualmente?
En general, se tiene éxito con el tratamiento (o sea, curación), siendo la primera alternativa una cirugía resectiva, lo que se ha visto facilitado con modernas técnicas de neurocirugía como microcirugía, técnicas de mínima invasión y cirugía guiada por imágenes, entre otras.

La radioterapia también puede ser una forma de tratamiento o complemento a la cirugía en su forma de radiocirugía o radioterapia conformacional, según sea el caso, con lo que se logra la 'estabilización' de la lesión en aproximadamente un 70% a 80%.

Por último, hay muchos avances e investigaciones en el campo de la genética molecular, epidemiología y receptores celulares que plantean un auspicioso futuro en este campo de la neurooncología.

Pero, en los casos de pacientes de edad avanzada, hay que analizarlos en forma particular, ya que muchas veces la historia natural de la enfermedad es mejor que los riesgos de seguir otro tratamiento.

Después de haber practicado la cirugía, ¿en qué condiciones quedan los pacientes?
El pronóstico dependerá de la situación clínica, el tipo histológico, el grado de resección, la localización del tumor y de la infiltración del cerebro o la médula espinal. Pero, en general, el tratamiento es exitoso, por lo que los pacientes pueden recuperar su situación personal y laboral.

Es importante considerar que mientras más pequeño el meningioma, más eficiente será el tratamiento.

'>

Todo el sistema nervioso central está recubierto por una membrana llamada meninges, por eso cuando un tumor se desarrolla en ese tejido es un meningioma. La mayoría surge en el cerebro y no presenta síntomas específicos.

El doctor Felipe Valdivia, jefe de la Unidad de Neurocirugía de Clínica Alemana, explica las características de estos tumores, a quiénes afectan más y cuáles son los tratamientos y medidas tomadas frente a su aparición.

El meningioma es uno de los tumores del sistema nervioso más comunes.

¿Puede desarrollarse en cualquier parte del sistema nervioso?
Efectivamente, es un tumor frecuente -corresponde a 1 de cada 4 tumores primarios del Sistema Nervioso Central- y es originado en las meninges, específicamente a nivel de las células aracnoidales, por lo que puede aparecer en cualquier sitio del Sistema Nervioso Central, tanto a nivel cerebral como de la columna vertebral. Además, suelen ubicarse entre el cerebro y la meninges, sin infiltrar los tejidos cerebrales ni espinales.

Pero, la localización más común, es en la convexidad cerebral (alrededor del cerebro) y en la Hoz (repliegue meníngeo que separa ambos hemisferios). En pocos casos, se ubica dentro de los ventrículos cerebrales o en estructuras meníngeas de la parte basal, en estrecha relación anatómica con nervios craneales y estructuras vasculares.

¿Cuáles son los síntomas más comunes?
La sintomatología es inespecífica, como la mayor parte de las enfermedades que afectan al Sistema Nervioso Central. Pueden darse problemas de déficit de memoria, hemiparesia (trastorno visual), alteraciones del lenguaje y cambio de carácter por compromiso del lóbulo frontal. Otro síntoma puede ser la aparición de signos irritativos (crisis convulsivas) que, habitualmente, son focales. Además, si se da hipertensión endocraneana, será en relación al tamaño alcanzado, la velocidad de crecimiento y la localización del tumor.

La mayoría corresponde a meningiomas benignos, ¿lo son por su lento crecimiento?
En general, son tumores encapsulados, con velocidades de crecimiento muy lentas, pudiendo alcanzar grandes tamaños antes de dar síntomas. Si se considera un criterio histológico, cerca del 95% son 'benignos', es decir, evolucionan sin diseminación. También, hay que considerar otras variables en cada caso, como la localización, infiltración del tejido cerebral y presencia de edema alrededor del tumor, entre otros.

¿Qué condiciones los hacen más peligrosos?
Ciertamente, hay variables propias del paciente, como la edad y condiciones médicas asociadas. Pero, en cuanto al meningioma en sí, es importante reconocer su localización, tamaño y compromiso de estructuras vecinas, como la compresión de venas cerebrales y nervios craneanos.

¿Se conocen las causas del meningioma?
Por el momento, desconocemos qué es lo que genera su crecimiento; pero sabemos que, en la mayoría de los casos, no es una alteración transmisible por los cromosomas.

¿En qué grupo de la población se dan más?
Es más frecuente en el adulto mayor, aunque excepcionalmente, se observan casos en niños. Por otro lado, hay una mayor frecuencia de este tipo de lesiones en mujeres, particularmente cuando se ubican en el canal espinal.

¿Con qué exámenes y procedimientos se localizan estos tumores?
El desarrollo de nuevas tecnologías de imágenes junto a un mayor acceso, permite en la actualidad hacer un diagnóstico más precoz de estas lesiones, siendo fundamental la Resonancia Magnética y la Tomografía Axial Computada, los que en la gran mayoría de los casos son complementarias.

¿Qué tratamiento se sigue habitualmente?
En general, se tiene éxito con el tratamiento (o sea, curación), siendo la primera alternativa una cirugía resectiva, lo que se ha visto facilitado con modernas técnicas de neurocirugía como microcirugía, técnicas de mínima invasión y cirugía guiada por imágenes, entre otras.

La radioterapia también puede ser una forma de tratamiento o complemento a la cirugía en su forma de radiocirugía o radioterapia conformacional, según sea el caso, con lo que se logra la 'estabilización' de la lesión en aproximadamente un 70% a 80%.

Por último, hay muchos avances e investigaciones en el campo de la genética molecular, epidemiología y receptores celulares que plantean un auspicioso futuro en este campo de la neurooncología.

Pero, en los casos de pacientes de edad avanzada, hay que analizarlos en forma particular, ya que muchas veces la historia natural de la enfermedad es mejor que los riesgos de seguir otro tratamiento.

Después de haber practicado la cirugía, ¿en qué condiciones quedan los pacientes?
El pronóstico dependerá de la situación clínica, el tipo histológico, el grado de resección, la localización del tumor y de la infiltración del cerebro o la médula espinal. Pero, en general, el tratamiento es exitoso, por lo que los pacientes pueden recuperar su situación personal y laboral.

Es importante considerar que mientras más pequeño el meningioma, más eficiente será el tratamiento.


Esta información es meramente informativa y no sustituye la opinión de un profesional de salud. Ante cualquier síntoma o molestia, te recomendamos consultar con tu médico. Además, ten en cuenta que, debido a la naturaleza cambiante de los temas tratados en este artículo, algunos conceptos pueden sufrir modificaciones desde la fecha original de la publicación.
Tag relacionados
Infección